Medycyna

Choroby przenoszone drogą płciową wymykają się w Europie spod kontroli
Lublin Region a European Pioneer in Vision Screening for Children
Rewolucja w zawodzie pielęgniarki. Ministerstwo Zdrowia chce nowych zasad rozwoju i większych kompetencji dla tej grupy zawodowej
"To duży wysiłek". Łatwogang po kontroli medycznej
Zderzenie dwóch światów. Polacy oceniają ostatni rok w szpitalach i przychodniach
NFZ apeluje do Polaków. Sprawdź, czy masz taką wiadomość na poczcie
Groźne bakterie w łososiu w kremie. Pilne ostrzeżenie GIS
Unia Europejska wprowadza ograniczenia gotówkowe. Zmiany coraz bliżej
Lekarka o niezwykłym wpływie zwierząt w szpitalach i hospicjach. Posłowie złożą projekt
Ebola atakuje w Ugandzie. Potwierdzono kolejne zakażenia
Polski medtech wykorzysta AI w terapii mowy. Za projektem stoi 22-letnia studentka
Zakażenia coraz trudniejsze do leczenia. "Mamy nowoczesne testy, a często działamy w ciemno"
Ebola w sercu Ugandy. Zakażeni byli w najgęściej zaludnionym mieście
To jest elastyczny implant drukowany w technologii 3D, który w pierwszych testach wykazuje obiecujące wyniki w zakresie obniżania ciśnienia krwi
Jesteśmy w bardzo dobrej sytuacji: pracę anestezjologów regulują ministerialne standardy
Chodziłam na basen trzy razy w tygodniu - jedyna kobieta po sześćdziesiątce w szatni pełnej dwudziestolatek. Pewnego razu jedna podeszła i zapytała: "Mogę pływać obok pani?"
1500 zł za kilogram. Najdroższa roślina świata rośnie w Polsce
Kolejna granica przekroczona i to bezkarnie – selektywne zabijanie
100 g działa jak eliksir przeciwstarzeniowy. Jedz, nie żałuj sobie
Powrót najgroźniejszego wirusa świata. Co trzeba wiedzieć o eboli?
70 tomografii na dobę, agresywni pacjenci. Szef rekordowego SOR-u: nie każdy wytrzymuje
Fizjoterapeuci po wyborach prezesa. Wiemy, kto pokieruje samorządem w kolejnej kadencji
Ebola. Polska szykuje się na ewentualnych pacjentów. Sytuacja w Afryce „nie jest pod kontrolą”
Prawa pacjentki przy porodzie w Polsce w 2026 roku. Osoba bliska, intymność i dostęp do dokumentacji
Dr hab. Agnieszka Stępień Prezesem KRF III kadencji !
Rośnie liczba zgonów i zachorowań na Ebolę. WHO aktualizuje ocenę ryzyka
Producenci dodają na potęgę, nadciśnienie w gratisie. 8 lat badań potwierdziło
Kawa czy herbata: co lepsze dla kości? Naukowcy badali 10 lat, wyniki są jednoznaczne
Fioletowe kwiaty zachwycają, ale uwaga: trująca jest każda tej część rośliny
Sezon lęgowy w pełni – Dziki SOR ma pełne ręce roboty
Apel położnych
GIS ostrzega przed Ebolą. Sytuacja w Afryce „nie jest pod kontrolą”, mówi dr Paweł Grzesiowski
Wypadek podczas prób do Polsat Hit Festiwalu. "Trafiłem do szpitala"
Lekarze wybierają władze samorządowe. Jest nowy skład Naczelnej Rady Lekarskiej
Otyłość można i trzeba leczyć. Rusza nowa kampania, która stawia na sprawczość pacjentów
Nie będzie Krajowego Centrum ds. AIDS. W to miejsce powstanie inny ośrodek
6 miesięcy i ocena. Ministerstwo: to nie narzędzie do szykanowania młodych lekarzy
Szpital Dziecięcy w Olsztynie z technologią jutra! WOŚP przekaże najnowocześniejszy tomograf na świecie
GIS alarmuje ws. eboli. Liczba zakażeń w Afryce rośnie lawinowo
Nowoczesny sprzęt rehabilitacyjny trafił do darmowej wypożyczalni
Kapitan z Hondiusa jest zdrowy. Czeka na zgodę na powrót do Polski
Wiele osób ignoruje ten objaw. Tak może zaczynać się bezsenność
Algorytmy wesprą lekarzy podczas porodów? Ekspert nie ma wątpliwości
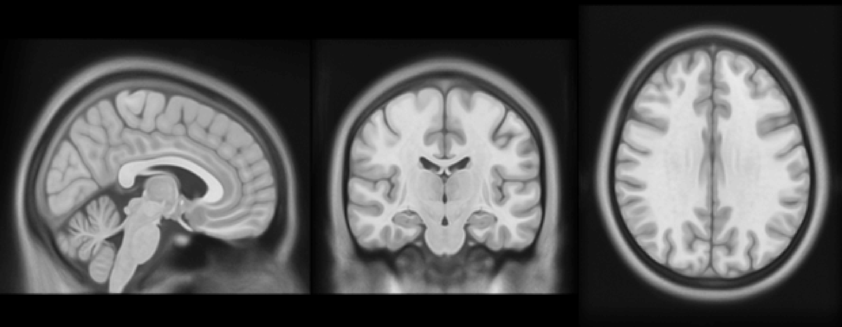
Publikacja badaczy UW w „Nature Communications”
Przez 25 lat odkładałam po 200 złotych miesięcznie na konto. Syn wiedział o tych oszczędnościach. W zeszłym tygodniu poszłam do banku - konto było puste. Przelew zrobiono w sierpniu, na numer, który znam na pamięć
Trzykrotny wzrost zachorowań na ebolę. "Sytuacja jest bardzo poważna"
Prawie 700 zł dodatku z ZUS. Ale uważaj - nie jest przyznawany z automatu
Głos uczelni i samorządu zawodu farmaceuty zmienił projekt rozporządzenia Ministra Zdrowia dotyczącego studentów farmacji
Wirus Ebola gwałtownie się rozprzestrzenia. Szef GIS: Sytuacja bardzo poważna